“Docs question why some COVID-19 patients develop post-recovery complications - Modern Healthcare” plus 1 more

“Docs question why some COVID-19 patients develop post-recovery complications - Modern Healthcare” plus 1 more


Docs question why some COVID-19 patients develop post-recovery complications - Modern Healthcare

Posted: 16 Aug 2020 05:49 PM PDT

Surviving COVID-19 — and leaving the hospital — isn't always the end of the journey.

Crain's interviewed several leading clinical specialists and researchers in Michigan who focus their care on patients most likely to have post-hospitalization complications from coronavirus.

Dr. Meilan Han., a critical care physician and professor of pulmonary disease at Michigan Medicine in Ann Arbor, said discharged patients are leaving the hospital with multiple other problems. Patients sometimes have blood clots form in their lungs or legs either during hospitalization or after discharge, leading to the possibility of strokes.

"We are seeing patients having prolonged periods of not doing well" after recovering initially from COVID-19, Han said. "We don't have tons of data yet and the information is anecdotal, but patients complain about persistent fatigue, malaise, lingering shortness of breath."

Neurosurgeon Dr. Hazem Eltahawy, president of the Michigan Association of Neurological Surgeons, said some patients could face long-term neurological effects after a COVID-19 infection.

"There could be direct damage through thrombogenic effects (blood clots in the brain or lungs)," said Eltahawy, who also is chair of neurosurgery at St. Mary Mercy Hospital in Livonia. "It has been demonstrated that one of the significant reasons why this virus is so morbid is that it creates blood clots that are widespread and presents in multiple small vessels across the brain."

Eltahawy said the clots could reduce blood flow and also create inflammatory reactions that could be severe enough to show up on imaging studies.

"The consequences could certainly leave a neurological mark on the central nervous system. The brain has limited ability to regenerate as opposed to other organs," Eltahawy said. "Sometimes what is lost does not fully recover."

Dr. Aditya Pandey, an associate professor of neurological surgery at Michigan Medicine, said some post-COVID-19 patients are coming back with stroke-like symptoms and other cerebrovascular complications.

Another possibility is people developing infections in the brain either caused by or associated with COVID-19.

"We don't have any statistics yet or the downstream effects, but some people feel the hyperinflammation (with COVID-19) creates a propensity to form clots in the brain, or the legs and goes to the lungs that can lead to strokes," he said.

Han said some people — after surviving COVID-19 in the intensive care unit on a ventilator — are developing what is similar to acute respiratory distress syndrome.

ARDS causes inflammation to the walls of the air sacs in the lungs that can make it difficult to breathe, limit the ability of red blood cells to deliver oxygen and possibly lead to pneumonia or asthma, Han said.

Patients can also develop sepsis, a general blood infection, because of inflammation in the body. Han said most pulmonologists believe COVID-19 patients who develop ARDS-like symptoms and lung damage should be treated as if they have acute respiratory distress syndrome. Treatment varies but usually includes oxygen, sedation, medication and fluids.

"Many of those patients are known to have significant lung function abnormalities that may persist for years. The data suggests five years, but not all have it," Han said. "We'll just have to see whether COVID tends to follow the same pattern."

Heart, asthma issues in Detroit

Dr. Heather Abraham, an internist with University Physician Group in Detroit, said patients she has seen the past several months have a range of post-COVID-19 symptoms that include heart failure, asthma, shortness of breath and neurological issues.

"It is not just patients who were admitted. Some were positive and just stayed home. One patient lost 30 pounds and was sick for a month," Abraham said. "There is something incredibly inflammatory about COVID. Some cardiologists have recommended full cardiac workups, echocardiograms and some patients may warrant cardiac catheterization" because of heart damage they have suffered.

A new report from the Centers for Disease Control and Prevention shows that people with heart disease and diabetes were hospitalized six times more often and died 12 times more often than otherwise healthy individuals infected with the coronavirus during the first four months of the pandemic. Abraham said Detroit has higher rates of chronic diseases, including asthma, hypertension, diabetes and heart disease, all problems that COVID-19 makes worse.

In Detroit, the prevalence of asthma is 29 percent higher among adults than those living in the rest of the state, according to a 2016 report from the Michigan Department of Health and Human Services.

Abraham said many patients also have social and psychiatric issues that complicate recovery.

Dr. Michael Brennan, an endocrinologist in St. Clair Shores who practices at Beaumont Health hospitals, said a COVID-19 infection can make diabetes and kidney problems worse.

"People are complaining about problems. They aren't making things up. But what is the intervention we can do to fix these things?" Brennan said. "Hopefully these things will be transient, but some people will develop lifelong problems. There are cases where the virus makes this worse."

Brennan said he has treated COVID-19 patients with recurring symptoms after they have been discharged.

"What we've seen with COVID-19 is that there's a huge inflammatory response. This leaves people who you would call having pre-diabetes or borderline diabetes, who have insufficient insulin reserves, made worse by the inflammation process," Brennan said.

Fortunately, Brennan said he believes many younger patients who haven't developed full onset diabetes can recover after several weeks.

But it depends on age. "It's a spectrum. If it's a 25-year-old gentleman, or lady, most times they can get back to being normal with regard to pancreatic function, but if they're a 78-year-old ... (they aren't) going to be able to function at the same level as before, in most cases," he said.

Another problem that happens with COVID-19 patients is what is called a "cytokine storm" in which the body's immune system goes into a potentially fatal overdrive and leads to multi-organ failure.

"Those individuals seem to have an inflammatory response that exacerbate the diabetes," Brennan said. "When they go home, some of those individuals do need medication for diabetes. ... Some may need insulin in addition to the glucocorticoid use. If they left the hospital on glucocorticoids, they may need some more help with diabetes management."

"Docs question why some COVID-19 patients develop post-recovery complications" originally appeared in Crain's Detroit Business.

ARDS may not be the primary lung iInjury in COVID-19 - News-Medical.Net

Posted: 16 Aug 2020 07:45 PM PDT

The current pandemic of COVID-19 and the race to discover effective drugs and vaccines to counter the deadly spread of severe acute respiratory syndrome coronavirus 2 (SARS-CoV-2) have made it imperative to understand how the virus works in the body to cause disease and death.

At present, most fatalities are thought to be the result of ARDS (acute respiratory distress syndrome), based on post-mortem analysis. However, a new Italian study published on the preprint server medRxiv* in August 2020 shows that this may not be an adequate explanation, since ARDS is a nonspecific diagnosis. Instead, they say, antemortem lung biopsy shows a "Covid pattern" of acute lung injury, which could guide the application of therapeutics.

Ventilation-Associated Lung Injury and Vascular Factors

Prolonged periods of mechanical ventilation causes many factors to act on the lung and airways, including ventilator-associated pneumonia, oxidative damage due to high-pressure oxygen, bacterial super-infections, and tissue breakdown due to autolysis. This must be taken into account when interpreting the post-mortem findings.

Many investigators have found the presence of thromboembolism in these specimens, which suggests that endothelial injury plays a part in producing these lesions. This is supported by finding small vessel disease, T cell infiltration around the blood vessels, and endothelial lesions. Such a constellation of thromboembolism, excessive coagulation activity, and vascular alterations, is common to ARDS due to any cause.

Lung Biopsy to Uncover Pathogenesis

The current study focused on antemortem lung biopsy as a means of providing a better understanding of the pathogenesis of lung injury in COVID-19. In addition, these biopsies would reveal the presence of super-infections, and non-infectious complications, in patients on mechanical ventilation.

The current prospective observational study included the histological and immunohistochemical examination of lung biopsy specimens. There were 23 patients, of which 12 and 11 had a biopsy performed in the early (within 15 days of symptom onset) and late (after 15 days of symptom onset) phase of COVID-19.

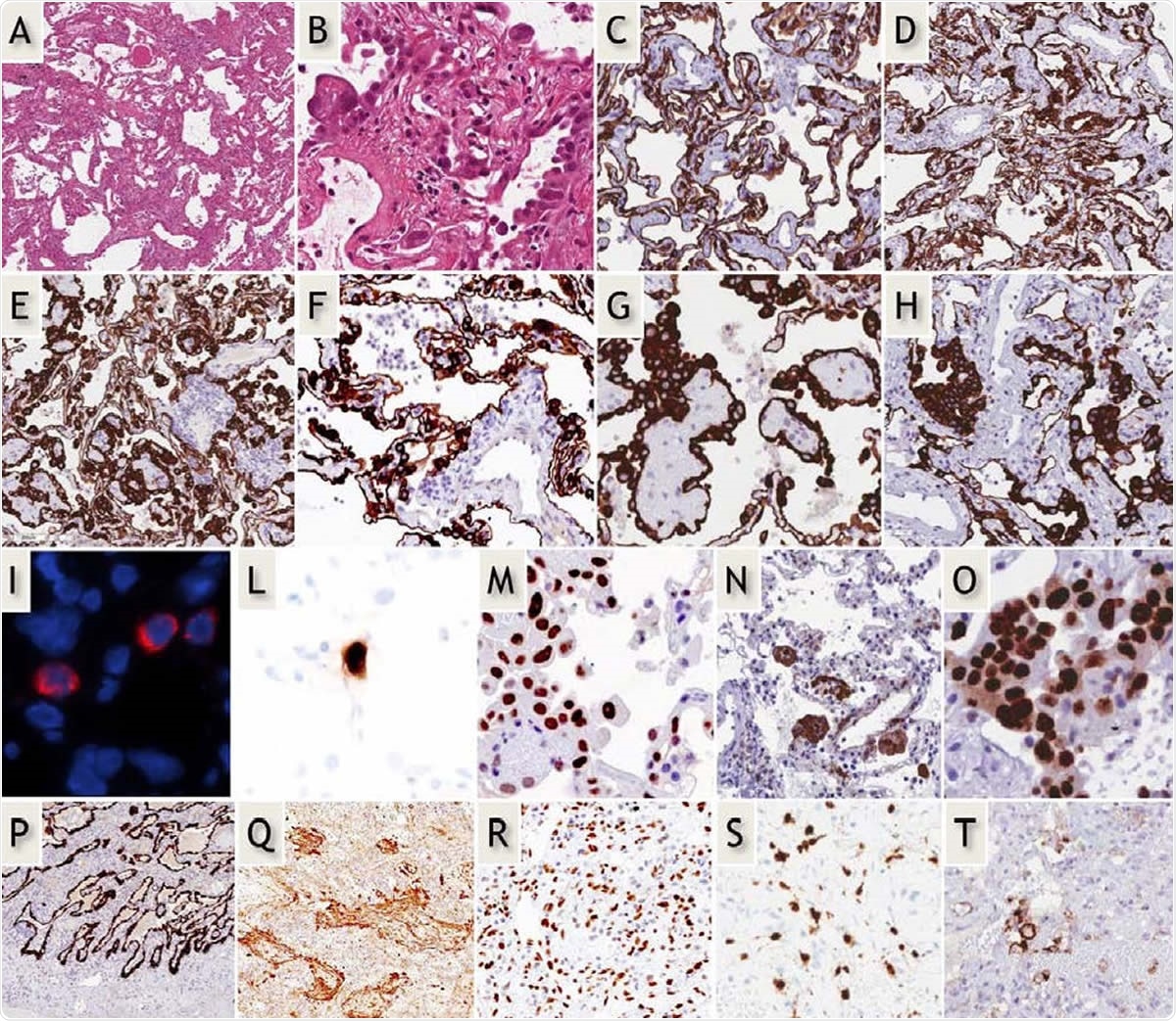
Early-phase COVID-19 pneumonia. H&E (A,B): Parenchymal structure is variably altered by AECII hyperplasia, vascular enlargement and interstitial thickening. CK7 (G-H): AECII form variable small nodules, aggregates and pseudo-papillary sprouts. Grade-1 (C,D) and -2 (E-H) Covid-19 histological patterns were defined by the extent of AEC II hyperplasia. In situ demonstration of AECII infected by SARS-CoV-2 (I): cytoplasmic (red) signals are evidenced in scattered cells recognized as AECII by morphology and location. In situ analysis of IL-6 mRNA expression (L): strong signal is evidenced in scattered AECII. Ph-STAT3 immunohistochemistry (M): strong signal demonstrated in most AECII. TBB3 immunohistochemistry (N): strong signal in AECII. Interstitial dilated spaces are negative. Ki67 immunohistochemistry (O): elevated (>50%) proliferation in AECII. Late-phase Covid-19 pneumonia. CK7 (P): typical DAD-presentation with homogeneous
Early-phase COVID-19 pneumonia. H&E (A,B): Parenchymal structure is variably altered by AECII hyperplasia, vascular enlargement and interstitial thickening. CK7 (G-H): AECII form variable small nodules, aggregates and pseudo-papillary sprouts. Grade-1 (C,D) and -2 (E-H) Covid-19 histological patterns were defined by the extent of AEC II hyperplasia. In situ demonstration of AECII infected by SARS-CoV-2 (I): cytoplasmic (red) signals are evidenced in scattered cells recognized as AECII by morphology and location. In situ analysis of IL-6 mRNA expression (L): strong signal is evidenced in scattered AECII. Ph-STAT3 immunohistochemistry (M): strong signal demonstrated in most AECII. TBB3 immunohistochemistry (N): strong signal in AECII. Interstitial dilated spaces are negative. Ki67 immunohistochemistry (O): elevated (>50%) proliferation in AECII. Late-phase Covid-19 pneumonia. CK7 (P): typical DAD-presentation with homogeneous "lepidic" alveolar covering by AECII. TBB3 (Q) strong reaction in myofibroblast-rich areas. phSTAT3 (R): diffuse nuclear expression in AECII, macrophages and stromal cells. IL-6 mRNA in-situ (S): increased numbers of positive cells. PD-L1 (T): negative results in most blood vessels.

Early Disease – the COVID Pattern

The researchers found that early phase biopsies had patchy acute lung injury (ALI), hyperplasia of alveolar epithelial type II cells (AECII), and vascular abnormalities (disorderly formation of blood vessels, thickening of alveolar capillaries leading to a colander-like pattern, dilated, tortuous and thickened pulmonary venules, and CD4 T cell infiltration. There were no signs of vasculitis or endothelial inflammation. However, the hyaline membranes characteristic of diffuse alveolar damage (DAD), which is typical of ARDS, were absent. This pattern was called the "COVID pattern."

Late Disease Pattern

Late phase biopsies showed disrupted alveolar structure, with the ALI showing signs of organization. Congestion of the vascular architecture was prominent. There were 7 out of 11 biopsies showing CK7+ epithelial cells scattered within a highly cellular tissue comprising interstitial myofibroblasts, inflammatory cells, and blood vessels. In only one case was a hyaline membrane present.

Proliferation Resulting from Alveolar Infection

Studies using in situ hybridization showed that the alveolar cells were infected, as expected, since these cells express ACE2. However, infected cells were fewer in more affected areas where the AECII appeared to be actively proliferating, as marked by the presence of the marker Ki67. On the other hand, their proportion was lower in relatively normal areas of lung parenchyma. Along with the lack of markers indicating apoptosis, the researchers argue that this means that "AECII do not die following infection but rather receive proliferative signals." They noted the unusual presence of nodular clumps of activated AECII in COVID-19.

Non-DAD Pattern

The significant differences between this picture and DAD include the absence of hyaline membranes, which are formed from the lysis of AECII. This indicates that the hypoxia seen in late COVID-19 is not related to alveolar loss. In fact, extensive patches of normal alveoli are prominent in early disease rather than widespread interstitial fibrosis expected in DAD.

However, late-phase biopsies showed the presence of interstitial fibrosis, as seen in post-mortem COVID-19 studies. The researchers say this could be attributed to the use of high positive end-expiratory pressure (PEEP) in these critically ill patients, causing alveolar damage.

Cell Markers of Immune Tolerance

In the early phase, lung cells and endothelial cells showed striking features such as elevated expression of phosphor-STAT3 (pSTAT3), PD-L1, and IDO-1, unlike control samples. The latter molecules are inhibitors of inflammatory immune pathways. The high pSTAT3 levels in the nucleus of both AECII and endothelial cells, as well as of IL-6 in the AECII alone, could indicate that the NF-kB/STAT3 pathway is being activated not by the innate immune antiviral response mediated via IL-6, but by pro-inflammatory factors secreted by the lung parenchyma. PD-L1 is also elevated by the signaling pathway involving IFN-γ, JAK, and STAT. Typically, lung tissue expresses low levels of IDO-1, except post-viral infection, when it is probably induced byIFN-γ secreted by activated lymphocytes.

In the later phase, both of these markers are secreted by a range of cells, including lung stroma and macrophages, as well as AECII. These molecules exercise negative feedback on the immune system, and induce immune tolerance of tumor cells.

Thus, both these endothelium-secreted molecules are part of the lung's response to injury, suggesting that in COVID-19, they magnify the immune tolerance caused by innate immune suppression within the lung. Not only so, IDO-1 also modulates vascular tone and protects against pulmonary hypertension. Its overexpression in COVID-19 could be the cause of the reduction in pulmonary vascular tone and the dilated tortuous pulmonary vessels in early COVID-19 pneumonia. This could also be the reason for the hypoxia that is seen in these patients even before pneumonia becomes severe because it causes an increase in alveolar dead space.

Vascular Changes

Abnormal blood vessels are also a part of COVID-19 lung changes from the beginning and continue to be observed until the end. Half of the early-phase patients showed high lymphocyte counts on bronchoalveolar lavage (BAL), mirroring the presence of perivascular lymphocytes. This redistribution of lymphocytes to the lung tissue could be part of the reason for the low lymphocyte counts in peripheral blood seen in COVID-19 patients, especially CD4 cells. On the other hand, cytokine-induced apoptosis and T cell exhaustion are more likely to account for low CD8 T cells counts.

In late disease, D-dimer levels were high, linked to capillary fibrin deposition. Alveolar macrophages expressed some atypical molecular markers such as DC-Lamp/CD208, CD206, CD123/IL3AR. These resemble the monocyte changes seen when exposed to the lung epithelium, which induces the release of inflammatory cytokines precipitating unregulated cytokine release.

Implications

The researchers point out that their findings indicate a "complex scenario where severe derangement of the cross-talk between innate and adaptive immune mechanisms are triggered by viral infection." Both inflammatory and tolerance-promoting factors are produced in the lung by different cell types. An imbalance between these states may determine whether the patient progresses to severe disease or recovers.

The pattern of pneumonia seen in many early COVID-19 infections is not the typical DAD found on post-mortem examination of these cases. The prominent 'Covid pattern' was found in the early phase of the disease, comprising abnormal epithelial and endothelial cell phenotypes. The reversibility of these findings marks them out from those of classical DAD. Again, the vascular changes are clearly different from those seen with ARDS, and this may help to develop a theory of disease in COVID-19. The researchers observe that, as with tumor immunity, "These observations may have major therapeutic implications, justifying studies of early interventions aimed at mitigating inflammatory organ injury."

*Important Notice

medRxiv publishes preliminary scientific reports that are not peer-reviewed and, therefore, should not be regarded as conclusive, guide clinical practice/health-related behavior, or treated as established information.

Journal reference:

Comments

Popular posts from this blog

“Diagnosis and management of acute respiratory distress syndrome - CMAJ” plus 2 more

“63 Signs You May Have Long COVID | Eat This Not That - Eat This, Not That” plus 3 more